Luiz Arthur Calheiros Leite*
*Especialista e Mestre em Hematologia, UNIFESP, Doutor em Bioquímica e Fisiologia, UFPE, Professor de Pós-graduação em Hematologia e membro da Comisão de Ensino e Pesquisa, SBAC. E-mail: lahemato@gmail.com
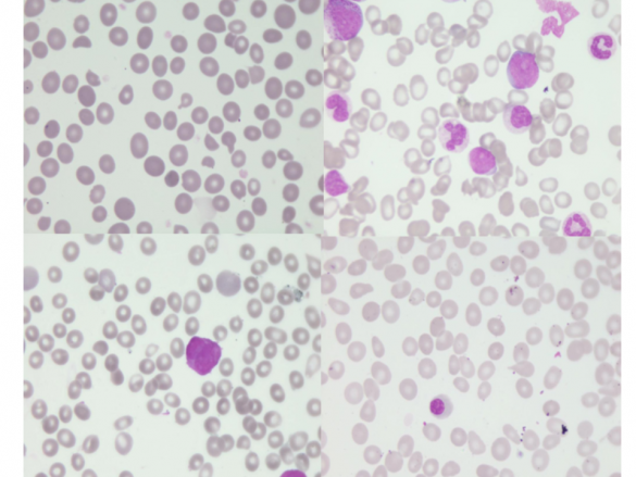
Um exame de sangue bem realizado é crucial para a avaliação precisa da morfologia celular e diagnóstico de diversas patologias. Para tanto, uma grande variedade de corantes Romanowsky (May-Grunwald Giemsa, Leishman, Wright) são rotineiramente utilizados para coloração do sangue periférico, e estes corantes possuem componentes químicos capazes evidenciar com clareza detalhes no núcleo e citoplasma de células hematológicas. Além disso, os corantes hematológicos diferenciam mais de 20 tons de cores, evidenciando nucléolos, halo perinuclear, grânulos tóxicos, corpúsculos de Dohle, basofilia citoplasmática em plasmócitos, bem como alterações eritrocitárias como policromasia. Os corantes hematológicos podem ser avaliados pelas variações de cores, listados na tabela abaixo:
Tabela 1 – Diferentes componentes celulares e as colorações características obtidas com corante de Romanowsky.
| Componente celular | Cor |
| Cromatina incluindo os corpúsculos de Howell-Jolly | Púrpura |
| Grânulos promielocíticos e bastões de Auer | Vermelho-purpúreo |
| Citoplasma dos linfócitos | Azul |
| Citoplasma dos monócitos | Azul-acinzentado |
| Citoplasma rico em RNA (i.e., citoplasma basófilo) | Azul-escuro |
| Corpúsculos de Döhle | Azul-acinzentado |
| Grânulos específicos dos neutrófilos, grânulos dos linfócitos, granulômero das plaquetas | Púrpura-claro ou cor-de-rosa |
| Grânulos específicos dos basófilos | Púrpura-escuro |
| Grânulos específicos dos eosinófilos | Laranja |
| Eritrócitos | Cor-de-rosa |
Contudo, nos últimos anos tem se pesquisado e procurado técnicas de colorações rápidas e práticas, denominadas de corantes panóticos rápidos que contém um fixador (metanol), o segundo corante (é a eosina) e o terceiro corante é o azul de metileno. O panótico tem sido usado devido a rapidez e pela dificuldade que muitos laboratórios têm em conseguir um pH adequado para as colorações hematológicas tradicionais (May-Grunwald Giemsa, Leishman e Wright). Entretanto, vale salientar que, corantes rápidos são extremamente limitados para a identificação de células que não são absolutamente normais, como: células imaturas com nucléolos, neutrófilos com corpos de Dohle, plasmócitos com halo perinuclear e alterações eritrocitárias, pois comumente queimam o núcleo de células nucleadas e possuem capacidade limitada de revelar corante quando comparados aos corantes hematológicos tradicionais.
Leia a Coluna Hematologia completa em nossa Revista Digital clicando aqui
