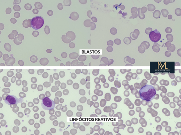
A hematologia é um campo complexo que exige precisão e profundo entendimento da morfologia celular. Diferenciar linfócitos reativos de blastos é um dos maiores desafios para analistas clínicos, sendo crucial para diagnósticos precisos e tratamentos adequados.
Os linfócitos reativos são células imunológicas que mudam morfologicamente devido a infecções ou reações autoimunes, sendo maiores e variáveis em forma. Em contraste, os blastos são células hematopoiéticas imaturas da medula óssea que, em condições patológicas como leucemias, aparecem prematuramente no sangue periférico. Blastos são 2 a 4 vezes maiores que linfócitos maduros, com formas redondas ou ovais e presença de nucléolos, variando conforme o tipo de desordem hematológica.
Importância Clínica
A diferenciação precisa entre eles é crucial para o tratamento de doenças hematológicas, impactando diretamente as estratégias terapêuticas e o prognóstico do paciente. Em leucemias agudas, a contagem e classificação dos blastos determinam o estágio da doença e a resposta ao tratamento. Em infecções virais, linfócitos reativos ajudam a monitorar a resposta ao tratamento antiviral.
Formação e Especialização
Para analistas clínicos que buscam aprimorar suas habilidades na diferenciação celular, a formação avançada é crucial. A pós-graduação em Hematologia Laboratorial e Clínica do Instituto Nacional de Medicina Laboratorial oferece um currículo abrangente, desde fundamentos da hematologia até técnicas avançadas de diferenciação celular. Os alunos aprendem com profissionais experientes e participam de estudos de casos clínicos reais. Torne-se um especialista em hematologia e aprenda a diferenciar linfócitos reativos de blastos com precisão. Para mais informações, visite nosso site ou entre em contato conosco.
Contato:
Site: inml.com.br E-mail: atendimento@inml.com.br
Tel: +55 73 99151-9694
Instagram: @inml.brasil



