O vírus da COVID-19 sequestra a maquinaria de células testiculares que produzem o hormônio testosterona para conseguir se replicar. Além disso, se apropria das vias metabólicas dessas células e do colesterol – precursor da testosterona – alterando o metabolismo lipídico para sua formação. Foi o que pesquisadores da Faculdade de Odontologia da Universidade Estadual de São Paulo (FOAr-Unesp), em parceria com a Faculdade de Medicina de Ribeirão Preto (FMRP-USP), verificaram em testículos de camundongos transgênicos.
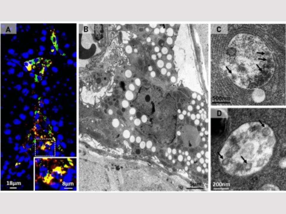
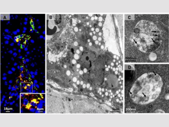
O estudo apoiado pela FAPESP revelou, pela primeira vez, a presença de partículas do SARS-CoV-2 nas inclusões lipídicas e organelas responsáveis pela produção de testosterona nas células de Leydig. Além disso, os pesquisadores descreveram o mecanismo pelo qual o vírus interfere no funcionamento dessas células testiculares. A descoberta ajuda a esclarecer por que pacientes do sexo masculino com quadros graves de COVID-19 apresentam redução nos níveis de testosterona e, possivelmente, de colesterol.
“Após infectar as células de Leydig, presentes nos testículos, o vírus usa as vias do metabolismo lipídico e a estrutura celular para se replicar, o que prejudica a produção de testosterona. Isso acontece porque essas células, responsáveis por produzir testosterona, expressam altas concentrações do receptor ACE2, facilitando a entrada do vírus”, explica Estela Sasso-Cerri, professora da FOAr-Unesp, em Araraquara, que coordenou o estudo publicado na Frontiers in Cellular and Infection Microbiology. “Além disso, as células são responsáveis por armazenar colesterol – essenciais para a síntese de testosterona – e contêm uma maquinaria celular especializada na produção de hormônios esteroides, tornando-se um alvo favorável para a infecção.”
A pesquisa foi realizada com camundongos transgênicos, desenvolvidos em laboratório, que expressam o receptor viral ACE2. Ao serem infectados, desenvolvem a COVID-19 de maneira semelhante aos humanos, permitindo uma melhor compreensão do mecanismo utilizado pelo vírus.
“Observamos que tanto no testículo do camundongo transgênico como no testículo humano havia uma intensa concentração de ACE2 nos mesmos tipos celulares. O resultado valida, portanto, o modelo usado no estudo e confirma que o testículo é um órgão alvo do SARS-CoV-2″, afirma a pesquisadora.
No experimento, os pesquisadores constataram que o SARS-CoV-2 é capaz de alterar o metabolismo lipídico das células de Leydig. Isso acontece porque o colesterol que a célula armazena para a produção de testosterona passa a ser usado pelo vírus para a sua replicação. Dessa forma, apesar da baixa presença de testosterona nas células de Leydig infectadas, elas estavam repletas de lipídios, pois o vírus também induziu um aumento na internalização de colesterol para sua própria replicação e formação.
Caráter imunológico
No estudo também foram observadas mudanças no perfil funcional das células de Leydig. Após serem infectadas pelo vírus, elas cessaram a produção de hormônios esteroides a partir do colesterol e passaram a assumir um perfil imunológico. “A infecção pelo SARS-CoV-2 também induziu as células de Leydig a produzir citocinas pró-inflamatórias em grande quantidade, um processo que normalmente não desempenham. Esse aumento de citocinas, certamente, pode também ter interferido na produção de testosterona, prejudicando essa função principal”, detalha Salmo Azambuja de Oliveira, aluno do Programa de Biologia Estrutural e Funcional (BEF) da Universidade Federal de São Paulo (Unifesp), bolsista da FAPESP e primeiro autor do estudo.
Com os achados, o trabalho avança na compreensão dos processos celulares e moleculares associados à disfunção endócrina testicular causada pela infecção viral. “Os resultados corroboram os baixos níveis de colesterol verificados clinicamente em pacientes com COVID-19 grave, podendo esclarecer a vulnerabilidade de homens à COVID-19 bem como a alta taxa de mortalidade masculina, em comparação com a das mulheres. O estudo também abre caminho para a elaboração de marcadores que indicam a severidade da COVID-19, bem como de terapias para o tratamento da doença com base em drogas [hipolipemiantes] que interferem no metabolismo lipídico e inibem a ação viral”, afirma Sasso-Cerri.
O artigo SARS-CoV-2 exploits steroidogenic machinery, triggers lipid metabolism for viral replication and induces immune response in Leydig cells of K18-hACE2 mice pode ser lido em: www.frontiersin.org/journals/cellular-and-infection-microbiology/articles/10.3389/fcimb.2025.1538461/full.
Matéria – Maria Fernanda Ziegler | Agência FAPESP
Imagem – Células testiculares infectadas pelo SARS-CoV-2. A) Proteína Spike viral (em amarelo); B) Citoplasma repleto de lipídios contendo colesterol. C e D) Partículas virais (setas) no lipídio e no interior de vesícula da célula (imagem: Salmo Azambuja De Oliveira et al./Frontiers in Cellular and Infection Microbiology)



