Utilizando uma técnica de sequenciamento de células únicas, pesquisadores brasileiros construíram o primeiro atlas celular da displasia cortical focal (DCF) – uma malformação do córtex cerebral que leva à epilepsia resistente a medicamentos. Esses casos são registrados principalmente em crianças e adolescentes, respondendo por até 50% das cirurgias de epilepsia nessa faixa etária.
Com o atlas foi possível caracterizar os diferentes tipos de células presentes na lesão cerebral, determinando quais estão envolvidas na doença. O resultado abre caminhos para o desenvolvimento de novos tratamentos específicos voltados a esse tipo de displasia.
Até hoje os mecanismos moleculares responsáveis por crises de epilepsia em pacientes com DCF são pouco compreendidos. Pessoas com casos graves chegam a ter entre 40 e 50 crises por dia, com perda de sentido e queda. Quando os medicamentos são ineficazes para controlá-las, a opção é a cirurgia, que também pode acarretar riscos, como sequelas na visão, audição e fala.
Em estudo publicado na revista iScience, os pesquisadores conseguiram mapear em resolução celular tanto as alterações transcrionais – envolvidas no processo de conversão do DNA em RNA mensageiro (a “receita” para a produção de proteínas) – quanto epigenéticas (modificam a expressão gênica por meio de processos bioquímicos, sem alterar a sequência do DNA). Esses mecanismos regulam a forma como os genes são ativados ou desativados para produzir proteínas e outras moléculas funcionais, a chamada expressão gênica.
Além disso, o estudo apontou subpopulações de neurônios, micróglias e astrócitos envolvidas na doença. Esse conjunto de células forma o córtex cerebral e garante o funcionamento, a proteção e a adaptação do sistema nervoso.
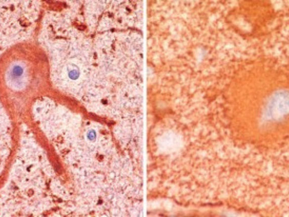
A pesquisa identificou uma população neuronal específica nos pacientes com DCF caracterizada pela expressão do neurofilamento NEFM+ (uma proteína neural), que engloba os chamados neurônios dismórficos. Eles são células anormais encontradas no córtex desses pacientes, responsáveis pelas sinapses alteradas e causam as crises epilépticas.
Já em relação às micróglias (células do sistema imune localizadas no cérebro) foram descobertas duas subpopulações, denominadas CD74+ e CD83+. Elas podem estar ligadas à ativação do sistema imunológico e à neuroinflamação.
“Utilizando uma técnica avançada de gênomica, obtivemos uma visão em nível celular e, portanto, extremamente detalhada dessa malformação do cérebro. Identificamos profundas alterações celulares no córtex desses pacientes, incluindo a perda de neurônios nas camadas superiores, além de astrócitos imaturos e populações de micróglias expandidas nas lesões e associadas à inflamação. Esse atlas celular é de grande importância para entender os mecanismos e buscar terapias específicas, podendo ter como alvo as células identificadas”, explica à Agência FAPESP o biólogo computacional Diogo Veiga, autor correspondente do artigo.
Pesquisador da Faculdade de Ciências Médicas da Universidade Estadual de Campinas (FCM-Unicamp), Veiga integra a equipe do Instituto Brasileiro de Neurociência e Neurotecnologia (BRAINN), um Centro de Pesquisa, Inovação e Difusão (CEPID) financiado pela FAPESP.
No trabalho, iniciado em 2021, o grupo gerou um conjunto de dados compreendendo 61.525 células únicas de 11 amostras clínicas de lesões de displasia cortical focal obtidas de pacientes submetidos a cirurgias e de controles. O sequenciamento de célula única (single-cell) é uma técnica avançada de biologia molecular e permite a análise do material genético (DNA ou RNA) individualmente, proporcionando uma visão detalhada da heterogeneidade celular e revelando características muito mais específicas das lesões estudadas.
Um dos desafios foi analisar a quantidade de dados. “Passamos um bom tempo desenvolvendo o workflow computacional e testando diferentes abordagens para conseguir identificar estas subpopulações associadas à doença”, diz Veiga, que destaca a contribuição de sua orientanda de doutorado Isabella Cotta Galvão, primeira autora do artigo.
O trabalho foi apresentado em eventos nacionais e internacionais, entre eles no simpósio Human Cell Atlas Latin America, realizado em julho de 2024, envolvendo pesquisadores na área de genômica de células únicas.
Para ampliar o conhecimento sobre o tema no Brasil, as pesquisadoras Iscia Lopes-Cendes e Jaqueline Geraldis, ambas da FCM-Unicamp e autoras do artigo, organizaram em novembro último o evento Single-Cell Omic Fusion: Navigating Spatial Omics in Biomedical Research. O workshop marcou o lançamento da Single-Cell e Spatial Omics Brasil, uma comunidade científica dedicada a fomentar a colaboração e o avanço desse campo no país.
Doença neurológica sem cura, a epilepsia afeta cerca de 50 milhões de pessoas no mundo, segundo a Organização Mundial da Saúde (OMS). Estima-se que no Brasil sejam 2 milhões de registros. No ano passado, o maior estudo já publicado sobre o assunto no mundo revelou uma espécie de “arquitetura genética” da doença, identificando 26 áreas do genoma ligadas ao distúrbio. O Brasil foi o único representante da América Latina por meio do BRAINN (leia mais em: agencia.fapesp.br/44960).
Próximas fases
Os resultados do estudo foram incluídos no banco de dados celular CellxGene, que faz parte do consórcio Human Cell Atlas. Criado em 2016, o consórcio tem mais de 3 mil integrantes em 99 países, reunindo biólogos, clínicos, tecnólogos, físicos, cientistas computacionais, engenheiros de software e matemáticos.
Com isso, outros grupos podem aproveitar esses dados em suas pesquisas e tentar encontrar tratamentos mais direcionados à displasia cortical focal. “Esse tipo de compartilhamento de dados é hoje essencial para acelerar o avanço das pesquisas médicas. Estamos disponibilizando dados gerados com dinheiro público, retornando o investimento da sociedade para benefício de todos”, afirma Lopes-Cendes.
Segundo Veiga, seu grupo está agora usando a mesma técnica de célula única para estudar o desenvolvimento do cérebro infantil, além de um outro tipo de displasia, com o objetivo de detectar eventuais similaridades.
A pesquisa também recebeu apoio da FAPESP por meio de outros quatro projetos (19/07382-2; 22/01530-2; 20/06168-4; 19/08259-0).
O artigo Multimodal single-cell profiling reveals neuronal vulnerability and pathological cell states in focal cortical dysplasia pode ser lido em www.cell.com/iscience/fulltext/S2589-0042%2824%2902562-8.
Matéria – Luciana Constantino | Agência FAPESP
Imagem – Neurônios dismórficos (à esquerda) e células em formato de balão (à direita) estão associados à displasia cortical focal (imagens: BRAINN/Unicamp)



