Mononucleose e Linfoma do Manto: Você sabe diferenciá-los? | Newslab

Mononucleose e Linfoma do Manto: Você sabe diferenciá-los?

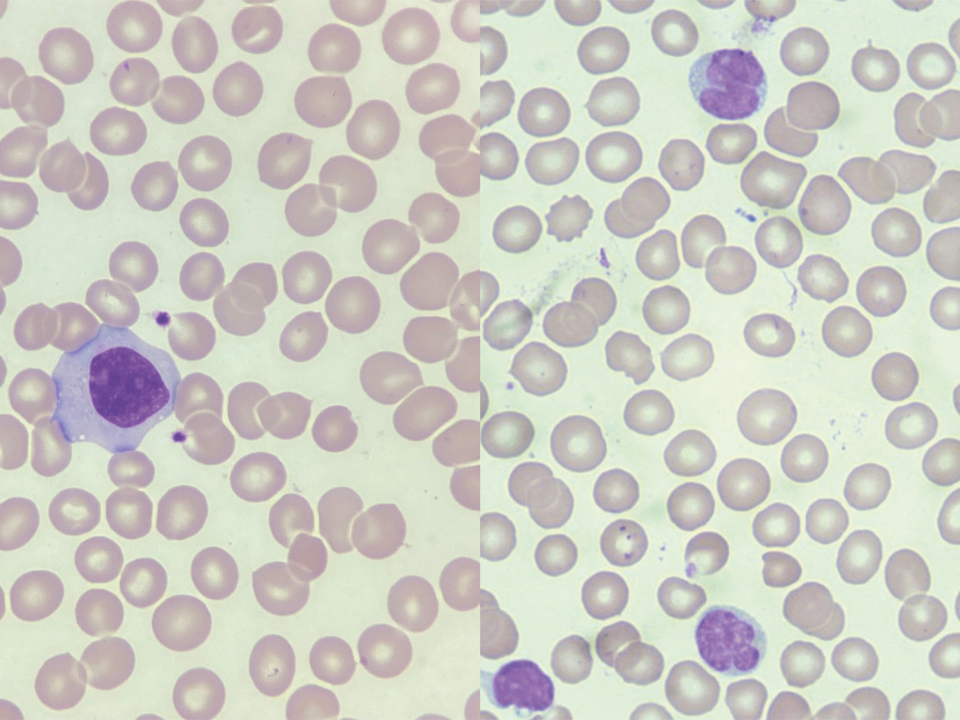
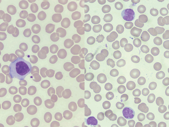
A mononucleose infecciosa, conhecida como “doença do beijo”, é causada pelo vírus Epstein-Barr (EBV) e acomete frequentemente jovens e adultos. Seus principais sintomas incluem febre, fadiga, dor de garganta e aumento dos linfonodos, além de linfócitos reativos detectados no hemograma. Apesar dos desconfortos, o prognóstico costuma ser benigno, com recuperação após algumas semanas. 

Por outro lado, o linfoma de células do manto é uma neoplasia hematológica agressiva que afeta predominantemente homens acima dos 60 anos. Ele resulta de uma translocação genética (t(11;14)) que aumenta a expressão da ciclina D1, levando à proliferação descontrolada das células B. Os pacientes apresentam linfonodos aumentados, sintomas como febre, suores noturnos e perda de peso inexplicada. Seu diagnóstico depende de técnicas avançadas, como imunohistoquímica e estudos genéticos, e o tratamento exige quimioterapia e imunoterapia, com prognóstico mais reservado. 

Ambas as condições podem causar linfadenopatia e fadiga, mas requerem abordagens diagnósticas e terapêuticas totalmente distintas. A diferenciação entre elas baseiam-se em diversos fatores. 

E você, consegue distinguir células da mononucleose e do manto? 

 

Torne-se um Especialista na Área! 

Quer dominar os fundamentos da diferenciação celular e diagnósticos hematológicos? Inscreva-se na Pós-Graduação em Hematologia Laboratorial e Clínica do Instituto Nacional de Medicina Laboratorial. Aprenda com profissionais renomados e torne-se referência em análises hematológicas. Para mais informações, visite nosso site ou entre em contato conosco! 

Contato: 

Site: inml.com.br 

E-mail: atendimento@inml.com.br 

Tel: +55 73 99151-9694 

Instagram: @inml.brasil