Veja o caso abaixo e faça o seu diagnóstico.
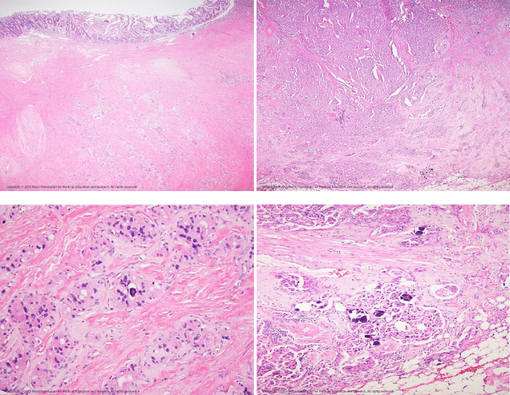
Uma mulher de 72 anos de idade apresenta dor epigástrica com piora progressiva. Procede-se à ressecção de uma massa duodenal periampular de 4 x 2 x 2. A massa invade a parede do duodeno e atinge linfonodos regionais.



Qual das seguintes opções é o diagnóstico?
- Somatostatinoma psamomatoso com amiloidose do tipo somatostatina
- Adenocarcinoma bem diferenciado do duodeno
- Tumor do estroma gastrointestinal epitelióide
- Paraganglioma gangliocítico
- Metástase do carcinoma seroso papilífero uterino
A resposta correta é: Somatostatinoma psamomatoso com amiloidose do tipo somatostatina
Somatostatinoma psamomatoso com amiloidose do tipo somatostatina
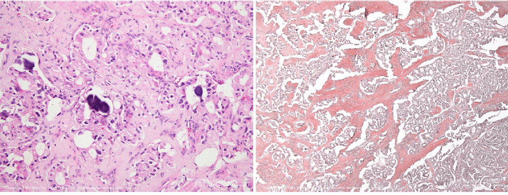
Aproximadamente 2/3 dos somatostatinomas do duodeno apresentam corpos de psamoma característicos dentro de espaços pseudoglandulares, característica não verificada em somatostatinomas pancreáticos. Esta entidade é um subtipo específico de um tumor neuroendócrino bem diferenciado, com núcleos monomórficos, cromatina pontilhada e citoplasma eosinófilo finamente granulado, bem como estrutura aninhada, trabecular ou insular. Neste caso, o amilóide foi subclassificado como somatostatina por cromatografia líquida acoplada à espectrometria de massas. A maioria dos somatostatinomas do duodeno está localizada na região ampular ou periampular, mais frequentemente com apresentação clínica de dor abdominal e, às vezes, com outros sintomas obstrutivos das vias biliares. Normalmente, a síndrome de somatostatinoma, que inclui diabetes mellitus, diarreia e/ou esteatorreia, colelitíase, hipocloridria, perda de peso e anemia, não está associada ao somatostatinoma do duodeno. A síndrome de somatostatinoma pode manifestar-se numa minoria de pacientes com somatostatinoma pancreático. Os somatostatinomas do duodeno estão associados a diversas síndromes genéticas, principalmente a NF1; tanto o somatostatinoma do duodeno como o pancreático apresentam associações com MEN1 e VHL. Uma síndrome que compreende policitemia, paragangliomas múltiplos e somatostatinoma do duodeno também foi identificada recentemente.
Adenocarcinoma bem diferenciado do duodeno
Esta é a neoplasia invasiva mais comum no duodeno, e o somatostatinoma é capaz de imitá-la; na verdade, foi usado o termo “tumor neuroendócrino psamomatoso glandular do duodeno”. Apesar das formações ganglionares, este caso não tem as características estruturais e citológicas de adenocarcinoma, como pleomorfismo celular, atipia, mitoses e produção de mucina.
Tumor do estroma gastrointestinal (GIST) epitelióide
O GIST pode ser epitelióide, mas não a ponto de formar pseudoácinos. A calcificação psamomatosa não deve ser verificada, e o envolvimento dos gânglios linfáticos é muito raro, exceto no caso do GIST gástrico com deficiência de succinato desidrogenase.
Paraganglioma gangliocítico
O paraganglioma gangliocítico muitas vezes surge na região ampular ou periampular, e pode ter amiloidose variável, produção de somatostatina, corpos de psamoma e uma população de células neuroendócrinas. Entretanto, esta entidade é caracteristicamente trifásica, e também inclui populações de células fusiformes e ganglionares.
Metástase do carcinoma seroso papilífero uterino
Esta metástase retrataria a morfologia de alta qualidade, que não está demonstrada neste caso.
Autores que trabalharam no caso:
Toshi Ghosh, M.D. Residente da Divisão de Anatomia Patológica e Patologia Clínica Mayo Clinic
