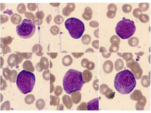
Paciente Feminino. 10 anos com diagnóstico de leucemia mieloide aguda (LMA). Ao hemograma apresentou: WBC 26,070/mm3, Hemoglobina de 8,7 g/dl e plaquetas de 24,000/mm3. A contagem diferencial mostrou: 18% de blastos,05% de promielócitos, 35% de mielócitos, 09% de metamielócitos, 03% de bastões, 09% de segmentados, 20% de linfócitos e 01% de monócitos. (Observações do hemograma, neutrófilos hipolobulados ++, blastos com bastonete de Auer +, células granulocíoticas com gigantismo e assincromia de maturação +/+4). No exame de medula óssea foram contados 36% de blastos.

Comentários do caso: O caso contém elementos compatíveis com uma neoplasia mielodiaplásica NMD (antiga síndrome mielodisplásica, SMD) devido aos achados morfológicos de assincronia de maturação, gigantismo celular e hipolobulação dos neutrófilos e grande número de blastos circulantes e na medula óssea. Segundo os critérios da OMS, 2022, a presença de 20% blastos define uma leucemia aguda, e o achado de bastonetes de Auer em blastos com cromatina fina a frouxa, citoplasma escasso, basofílico e com grânulos citoplasmáticos sugerem uma LMA secundária a uma NMD, antiga SMD. A imunofenotipagem foi compatível com LMA.
O hemograma na leucemia mieloide aguda apresenta citopenias periféricas, anemia, neutropenia, plaquetopenia, leucocitose por blastos em algum momento do curso da doença, hiato leucêmico, presença de muitos blastos e um espaço na diferenciação celular com poucos neutrófilos e ausência de desvio a esquerda, e granulócitos imaturos (promielócitos, mielócitos e metamielócitos). A tríade leucêmica é comum (neutropenia, plaquetopenia, leucocitose por blastos), no curso da doença, mas não é regra. Os blastos em casos de LMAs, apresentam múltiplos nucléolos evidentes, cromatina nuclear fina a frouxa (aberta) e citoplasma escasso, levemente basofílico, podendo conter grânulos finos e 1/3 dos casos Bastões de Auer.
O autor lembra que a classificação FAB (1976 e 1981) entrou em desuso, e a LMA É classificada hoje através dos achados genético-moleculares e imunofenotípicos. Vale também salientar que o hemograma ao diagnóstico podem ser aleucêmicos (sem blastos), subleucêmicos (com blastos, que não excedem 20%) e leucêmico, hemograma obvio com leucocitose por blastos. Para o autor o hemograma nas leucemias agudas é como uma fotografia e deve ser visto a cada dia ou mais de uma vez ao dia, pois tanto a clonalidade muda o hemograma, com aumento de blastos e mais citopenias periféricas, como a quimioterapia pode levar a diminuição das plaquetas em um dia e maior risco de sangramento, e em outro dia, neutropenia expressiva com febre e risco de infecções oportunistas. É fato que um paciente com LMA sem diagnóstico ou um diagnóstico tardio tem quadros mais graves, com anemia progressiva, plaquetopenia e sangramento, neutropenia e infecções, como risco de leucoestase por hiperleucocitose por blastos, e muitos ainda hoje vão a óbito. Antes os analistas e hematologistas devem pensar, se baseando no conhecimento clínico, fisiopatológico e laboratorial, pois a cada, pois cada achado tem uma consequência, muitas vezes catastróficas para o paciente.
Créditos: Lâminas e casos foram cedidos pelo professor Doutor Raimundo Antônio de Oliveira, serviço de Hematologia da UFMA, e as imagens capturadas pelo Cellavision, Sysmex.
Autor: Dr. Luiz Arthur Calheiros Leite, PhD e hematologista.
Professor e coordenador por 12 anos de cursos de pós-graduação lato sensu em Hematologia e Consultor e responsável por treinamentos do DB diagnósticos, LANAC, Curitiba, PR. Plátano, PR, Mercolab diagnóstico/Unimed, SC, Adolf Lutz, Garanhuns, PE, McScience lab, Macapá, Laboratório São José, AL. Especialista e Mestre em Hematologia, UNIFESP, Doutor em Bioquímica e Fisiologia, UFPE, Pós-doutorado e ex-professor do mestrado em HIV e Hepatites do Hospital Gaffrée Guinle, UNIRIO e do departamento de Biofísica da UFPE. Autor do livro, Atlas de Hematologia laboratorial, 1ª edição, R&D, São Paulo, 2023.
Contato:
Instagram @drluizarthur