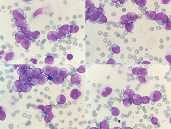
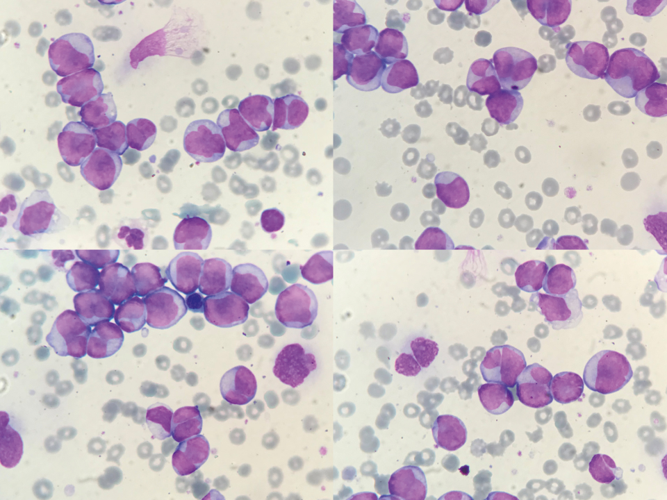
A leucemia promielocítica aguda (LPA) é uma forma distinta de leucemia mieloide aguda, caracterizada por uma interrupção no processo de diferenciação celular hematopoiética. Na LPA, há um acúmulo de promielócitos imaturos na medula óssea e no sangue periférico, devido à translocação t(15;17), que origina o gene de fusão PML-RARA. Essa alteração bloqueia a maturação normal das células precursoras de granulócitos, essencial para a manutenção de uma hematopoiese funcional.
A diferenciação celular, elemento central no diagnóstico da LPA, é analisada por citomorfologia e técnicas avançadas, como imunofenotipagem e análise molecular. Os promielócitos anômalos apresentam características morfológicas únicas, como grânulos citoplasmáticos abundantes e bastonetes de Auer. Além disso, o perfil imunofenotípico revela marcadores específicos, como CD13, CD33 e HLA-DR negativo, facilitando a distinção da LPA de outras leucemias.
Compreender essas diferenças é crucial não apenas para o diagnóstico, mas também para o monitoramento da resposta terapêutica e a detecção de recaídas. A precisão na avaliação das alterações morfológicas e moleculares exige profissionais capacitados, preparados para interpretar com acurácia os dados laboratoriais.
Torne-se um Especialista na Área!
Quer dominar os fundamentos da diferenciação celular e diagnósticos hematológicos? Inscreva-se na Pós-Graduação em Hematologia Laboratorial e Clínica do Instituto Nacional de Medicina Laboratorial. Matrículas abertas! Aprenda com profissionais renomados e torne-se referência em análises hematológicas. Para mais informações, visite nosso site ou entre em contato conosco!
Contato:
Site: inml.com.br E-mail: atendimento@inml.com.br
Tel: +55 73 99151-9694
Instagram: @inml.brasil



