O tratamento de infecções intestinais causadas por algumas cepas da bactéria Escherichia coli, presentes em alimentos não higienizados ou contaminados, pode ter um novo aliado.
Em um estudo publicado na PNAS, a inibição da prostaglandina E2(PGE2), mediador lipídico liberado durante o processo de remoção de células infectadas no intestino (eferocitose), melhorou o quadro de colite infecciosa em camundongos.

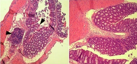
Em experimento, a inibição da prostaglandina E2 levou a um aumento na migração de células de defesa e produção de peptídeos antimicrobianos, resultando na redução da carga bacteriana no ambiente intestinal (imagem: comparação entre cortes microscópicos do tecido do cólon distal de ratos com infecção por C. rodentium e de ratos tratados com indometacina/ PNAS)
“Durante uma infecção bacteriana há uma intensa morte de células teciduais e mesmo de células imunes que são recrutadas para o local da infecção. Observamos que durante o processo de remoção dessas células mortas infectadas, denominado eferocitose, ocorria uma elevada liberação de substâncias proteicas e do mediador lipídico prostaglandina E2. No entanto, a presença desse mediador levou à inibição da diferenciação de linfócitos Th17, células imprescindíveis na resolução de infecções intestinais”, disse Alexandra Ivo de Medeiros, professora da Faculdade de Ciências Farmacêuticas da Unesp, em Araraquara, e coordenadora do estudo.
Para comprovar essa hipótese, a produção da PGE2 foi inibida utilizando anti-inflamatórios não esteroidais, como a indometacina e o ibuprofeno. A inibição desse lipídio resultou no aumento da diferenciação de linfócitos Th17.
“Os linfócitos Th17 possuem um papel-chave na resolução de uma infecção bacteriana intestinal, promovendo o recrutamento de células inflamatórias e a produção de antibióticos naturais”, disse Medeiros à Agência FAPESP.
Foi demonstrado ainda que o bloqueio de apenas um dos receptores de PGE2, o receptor EP4, reverteu o efeito supressor da PGE2na diferenciação desses linfócitos Th17.
Diferentes funções
“A prostaglandina E2 pode exercer diferentes funções dependendo do tipo celular e do receptor envolvidos. O uso do antagonista do receptor EP4 da prostaglandina E2 promoveu uma melhora na resolução da colite infecciosa”, disse Naiara Naiana Dejani, primeira autora do artigo, que realizou doutorado com bolsa FAPESP.
O estudo mostra ainda que a inibição da síntese da prostaglandina ou de sua sinalização, pelo tratamento com antagonista do receptor EP4 (L-161,982), favoreceu a expressão de defensinas no cólon, que são consideradas antibióticos naturais.
“A utilização de um antagonista específico do receptor de PGE2, como o antagonista do receptor EP4, traz vantagens em termos de uma proposta auxiliar do tratamento de uma colite infecciosa. A utilização de anti-inflamatórios não esteroidais (AINEs) não seletivos, como indometacina e ibuprofeno, apesar do baixo custo, pode causar alguns eventos adversos já bem descritos na literatura”, disse Dejani.
No entanto, apesar do efeito protetor de linfócitos Th17 em uma infecção bacteriana, essas mesmas células também são grandes vilãs em algumas inflamações crônicas e doenças autoimunes.
Por isso, ainda que a descoberta possa indicar um importante aliado no tratamento de infecções em associação com a terapia por antibióticos, o maior acúmulo desses linfócitos Th17 num ambiente intestinal poderia resultar futuramente no desenvolvimento de uma doença autoimune.
Infecção
O estudo é fruto do projeto Jovem Pesquisador de Medeiros. Além de Dejani, tem entre os autores outros bolsistas FAPESP, Allan Botinhon Orlando e Felipe Fortino Verdan.
O trabalho teve ainda a colaboração do pesquisador Carlos Henrique Serezani, da Vanderbilt University, que também foi o supervisor de Dejani durante a bolsa no exterior que resultou em publicação de um artigo na revista Diabetes
No experimento, um grupo de camundongos foi infectado por via oral com uma bactéria (Citrobacter rodentium), que mimetiza a infecção por E. coli em humanos. Depois de 24 horas, eles começaram a receber um tratamento de uma semana.
Alguns receberam uma substância inócua (controle) e outros indometacina a cada dois dias, ou diariamente L-161,982, antagonista do receptor E4 da prostaglandina E2. Ao fim do tratamento, foram analisados os intestinos de todos os camundongos.
As análises mostraram que o antagonista de EP4 pode ser uma estratégia promissora de tratamento auxiliar de colites infecciosas. No entanto, novos estudos são necessários para comprovar se a associação do antagonista de EP4 e da antibioticoterapia poderia potencializar a resolução dessa infecção bacteriana.
O artigo Intestinal host defense outcome is dictated by PGE2 production during efferocytosis of infected cells (doi: 10.1073/pnas.1722016115), de Naiara Naiana Dejani, Allan Botinhon Orlando, Victoria Eugenia Niño, Letícia de Aquino Penteado, Felipe Fortino Verdan, Júlia Miranda Ribeiro Bazzano, Ana Campos Codo, Ana Carolina Guerta Salina, Amanda Correia Saraiva, Matheus Rossi Avelar, Luis Carlos Spolidorio, C. Henrique Serezani e Alexandra Ivo Medeiros, pode ser lido em: www.pnas.org/content/early/2018/08/17/1722016115.short?rss=1.
Fonte: Agência FAPESP